Specialist Care for Diabetes,
Your Health & Smile Matter to Us
Your trusted healthcare destination for complete diabetic management and modern dental care. Our team of expert doctors provides personalized treatments using advanced technology, ensuring accurate diagnosis, effective treatment, and long-term wellness for every patient.
We provide high-quality dental treatments using advanced technology to ensure healthy smiles and long-lasting results.
Our clinic offers a warm, comfortable environment where patients feel relaxed, supported, and genuinely cared for.
We take time to understand your concerns, providing detailed evaluations and clear treatment explanations for confidence.
We offer convenient, budget-friendly payment plans to make quality dental care accessible for every patient.
We provide high-quality diabetic, dental, and orthodontic treatments at prices every family can afford, ensuring excellent care without financial burden.
Our experienced team of specialists brings over 15 years of trusted expertise, delivering accurate diagnosis, advanced treatments, and dependable patient care.
We offer convenient and flexible payment options, making it easier for patients to start necessary treatments without stress or financial worry.
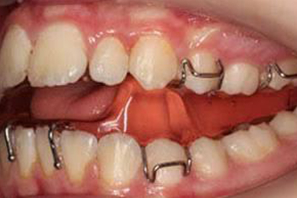
Orthodontic headgear is an external appliance used to correct jaw and bite alignment by applying gentle pressure to guide jaw growth, especially in children whose jaw bones are still developing. It is often recommended for severe issues like overbites and underbites, and it works in conjunction with braces to move teeth and jaws into the desired position.
Guides Jaw Growth: It is most effective in children between ages 7 and 13, as it can slow the growth of the upper jaw or encourage the lower jaw to catch up.
At our clinic, we provide a complete range of dental treatments designed to keep your smile healthy, beautiful, and confident. With advanced technology and a patient-first approach, we ensure comfortable care for individuals of all ages.
Quick appointments and minimal waiting time for every patient.
Personalized care, clear communication, and complete comfort at every step.
Checkups to help you start your treatment confidently.

Personalized care, clear communication, and complete comfort at every step.
Modern equipment for accurate diagnosis and pain-free procedures.
Expert care in Diabetology, Orthodontics, General Medicine, and Dentistry.
Whether it's dental care, braces, diabetic management, or general medicine, we’re ready to assist you. Contact us for expert guidance and quick appointments.
Walk-ins are accepted, but appointments help reduce waiting time.
All types of diabetes diagnosis, medication, insulin therapy, and foot care.
Yes, we use modern tools and techniques for pain-free dental care.
Yes, ceramic braces and invisible aligners are available for adults.
Any previous medical reports, prescriptions, and ID proof.
Could not fine the answer of your question? Ask Our Doctors.
